Heart Health Advanced
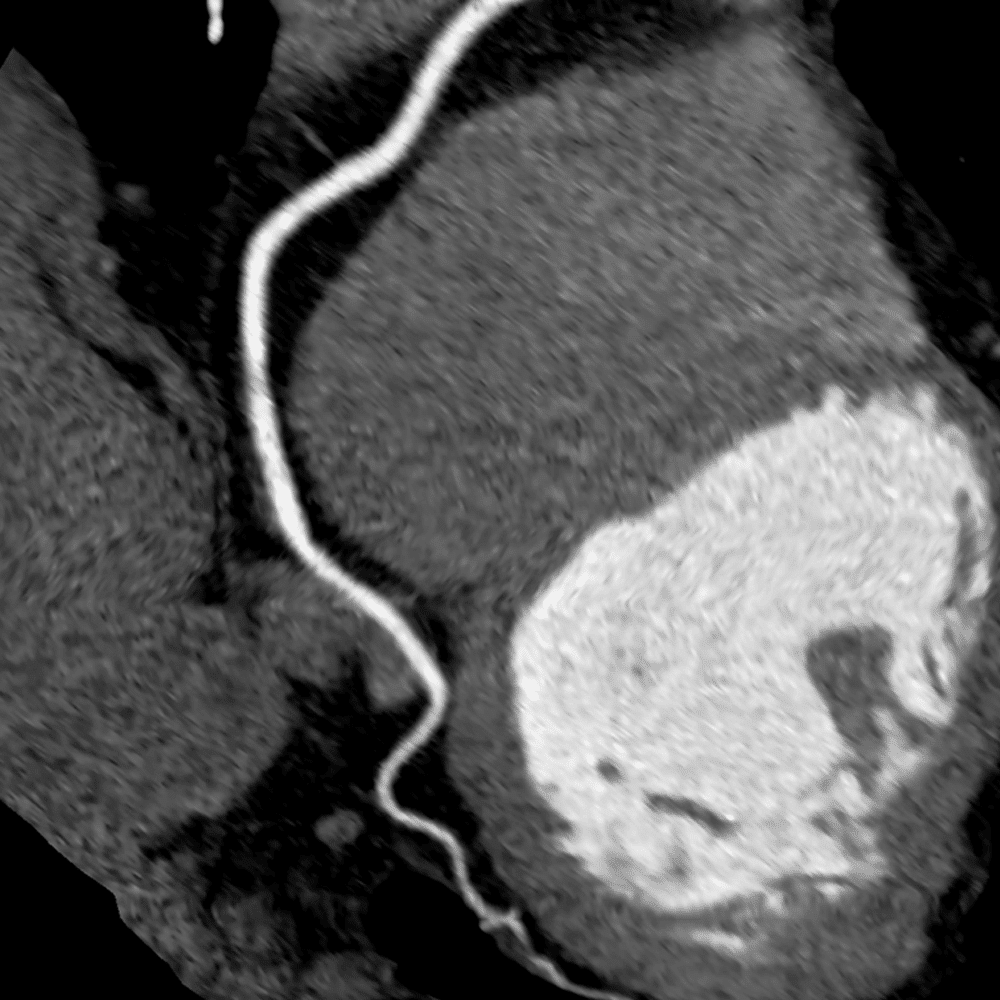
Cardiac CT Angiography (Cardiac CTA) and Calcium Scoring is a sophisticated imaging technique that uses CT technology to visualize the coronary arteries in great detail; especially for detecting narrowed or blocked coronary arteries from atherosclerotic plaque: hallmarks of coronary artery disease (CAD). Heart disease is the #1 cause of morbidity & mortality in the world. This exam includes a calcium scoring test as well (excellent value). This is a private, self-pay service and is not covered by OHIP.
- Evaluates for atherosclerotic plaque and narrowing in your coronary arteries: heart disease
- Includes calcium scoring to measure calcified plaque burden
- Performed on a CT scanner with iodinated contrast
- Scan Time: ~30 mins
CORONARY CTA & CALCIUM SCORING
Heart Health Advanced
Coronary CT Angiography & Calcium Scoring is offered as a private, self-pay exam. The fee includes your CT scan & radiologist-reviewed report you can share with your physician or cardiologist.
Heart Health Advanced
CT-based evaluation of coronary arteries and calcium burden-
Private, self-pay service; not covered by OHIP
-
Performed on a CT scanner with iodinated contrast
-
May include dedicated calcium scoring as part of the study
-
Up to 30-minute appointment with radiologist-reviewed report
Key Features of Heart Health Advanced
Non-invasive CT imaging to assess coronary artery atherosclerotic plaque & calcium burden
Evaluates Coronary Artery Plaque
Helps identify plaque buildup & narrowing in the heart’s major vessels.
Calcium Scoring
Quantifies calcified plaque to help estimate coronary artery disease burden
CT Angiography with Contrast
Uses iodinated contrast to visualize blood flow within the coronary arteries
Non Invasive Heart Imaging
Outpatient study with no catheters or surgical incisions.
Risk Stratification
Helps in diagnosing & guiding treatment of heart disease
Radiologist Reviewed
Results are interpreted by a cardiothoracic radiologist
What This Scan Helps Assess
Understanding Coronary Arterial Plaque & Heart Risk
This Cardiac CT exam helps assess atherosclerotic plaque that causes narrowing of the coronary arteries which leads to heart attacks or myocardial infarct. In addition, the study provides a calcium score which measures calcification of the coronary arteries. This is an excellent test to check for heart disease. typically used in coordination with your healthcare provider and does not replace emergency care or other heart tests they may recommend.
- Evaluates plaque and narrowing in major heart vessels
- Provides a coronary calcium score for risk assessment
- Typically arranged after discussion with your doctor
- Not intended for emergency chest pain or acute symptoms
How it Works
A Simple 4-Step Process
1
Book Your Scan
Schedule your scan online in a few easy steps
2
Easy Referrals
3
Scan Day
Our skilled technologists will guide you through the screening examination
4
Review Results
Ready to Book Your Cardiac CT & Calcium Score?
Schedule your Coronary CT Angiography & Calcium Scoring exam and gain insight into your heart health. Choose a time that works for you and complete your booking online.